歯科矯正治療


「一生、自分の歯で噛むために。」
見た目だけで終わらせない。
顎の健康から設計する、まき歯科平和町の「機能的矯正」 で、
全身のバランスを整え、一生涯の美しさと健康を手に入れませんか?
お口の健康は、全身の健康へと繋がる入り口です。
まき歯科平和町では、単に歯をきれいに並べることだけを目的とはしません。
私たちが目指すのは、噛み合わせを整えることで全身のバランスを健やかに保ち、患者様の人生がより豊かで幸せなものになるお手伝いをすることです。

1. 噛み合わせ治療という「大きな地図」の中の矯正
当院では、矯正治療を「単一のメニュー」とは考えていません。
それは、「全身を捉えた包括的な噛み合わせ治療」を実現するための治療のひとつと考えています。
噛み合わせの乱れは、お口の中だけの問題に留まりません。顎関節の不調、肩こりや頭痛…さらには全身の姿勢にまで影響を及ぼすことがあります。
当院では、患者様のお悩みの根本原因を様々な角度から分析し、以下のような治療を組み合わせて、お一人おひとりに最適な噛み合わせを目指しています。

欠損した部分を補い、噛み合わせの安定性を高める。

欠損した部分を補い、噛み合わせの安定性を高める。

歯の形や高さを微調整し、精密な噛み合わせを完成させる。
これらが相互に関わり合うことで、一生涯、自分の歯で美味しく食べ、自信を持って笑える「機能美」が実現します。
2. まき歯科のこだわり:世界基準の「スラビチェック理論」に基づく精密診断
当院の矯正治療の根幹にあるのは、オーストリア咬合学の権威、ルドルフ・スラビチェック教授の理論です。
■ 顎の動きを可視化する「CADIAX(キャディアックス)」
一般的な矯正ではレントゲンや写真のみで判断しますが、当院では専用の計測装置「CADIAX」を用い、顎の動きを3次元的に解析します。
- 顎の位置のミリ単位のズレを特定: あなたにとって最もリラックスできる「顎の正位置」を科学的に見つけ出します。
- シミュレーションではなく「実測」: デジタル上の計算だけでなく、実際の筋肉や関節の動きに基づいた、あなた専用の設計図を作成します。
「顎の機能を守る」という譲れない一線があるからこそ、私たちは事前の精密診断にどこよりも時間をかけます。
3. 「抜かない」「切らない」選択肢を、あなたに。
「他院で抜歯が必要と言われた」
「手術をしなければ治らないと言われた」……。

そんな方も、諦める前にご相談ください。
① 小臼歯を抜かない「非抜歯矯正」への挑戦
かつての矯正では、ガタガタを治すために健康な歯(小臼歯)を抜くのが常識でした。しかし、これらの歯は噛み合わせを長期的に安定させるための「柱」です。 当院では、新素材「ゴムメタル」のワイヤー技術を駆使し、顎を広げたり歯を奥へ移動させたりすることで、可能な限り歯を残す治療を第一選択としています。
② 外科手術を回避する「垂直的アプローチ」
「受け口」や「深い噛み合わせ」に対し、従来は顎の骨を切る外科手術が推奨されてきました。
しかし、当院では下顎の「高さ(垂直的な位置)」をコントロールすることで、手術なしでも機能的・審美的に優れた結果を導き出す独自の技術を導入しています。 すべてのケースで非外科での処置が可能となるわけではないですが、可能な限り体への負担を最小限に抑え、自然な笑顔を取り戻します。
4. 機能美を追求する「独自のマウスピース矯正」
インビザラインなどのマウスピース型矯正においても、私たちの「機能重視」の姿勢は変わりません。
■ 顎機能学を融合させたインビザライン
歯型をスキャンするだけでなく、CADIAXによる精密な顎機能検査の結果を設計に反映させます。 治療の途中で顎の動きを再評価し、少しでも理想からズレが生じていると判断した場合には、妥協せずマウスピースの再設計を行います。 この徹底した微調整こそが、将来の顎関節症リスクを抑え、全身の健康に寄与する「一生モノの噛み合わせ」を作る鍵となります。
5. 費用と品質への想い
当院の治療費用は、一般的な価格設定よりも高額に感じられるかもしれません。
それは、「一度整えた噛み合わせを、生涯にわたって守り続ける」ための責任の証です。
- 通常の数倍の時間をかけるシミュレーション: 顎の関節に負担がないか、何度も計算を繰り返します。
- 高価な精密計測と分析: CADIAX等の専門機器を用いた、歯科医師による高度な解析。
- 妥協のない品質管理: 医院側の利益を削ってでも、必要であれば何度でもやり直す姿勢。
適正なコストをかけて「一生の安心」を手に入れていただくことが、患者様にとって最も価値ある投資になると私たちは信じています。
6. 理事長からのメッセージ:10年後、20年後に感謝される治療を
「あの時、まき歯科で矯正して本当によかった!」
患者様からそう言っていただけることが、私たちの最大の喜びです。
目先の「安さ」や「手軽さ」に流されるのは簡単です。しかし、医療人として私たちは、あなたの10年後、20年後の健康に責任を持ちたい。だからこそ、非効率であっても、手間を惜しまず、科学的根拠に基づいた「本物の矯正」を提供し続けます。
一生に一度の大きな決断だからこそ、私たちは一歩も妥協しません。

矯正歯科について
本来あるべき歯並びに矯正することで機能的なかみ合わせを実現させる歯科矯正を行うことで全身の健康にもつながります。審美性に目が向けられがちですが、当院では「かみ合わせ」を整えることで本当の美しさを目指しています。
ほとんどの症例で小臼歯の抜歯せずに治療できる「ゴムメタル」という金属のワイヤーを使用した歯科矯正とマウスピース「インビザライン・システム」を使ったインビザライン矯正があります。インビザライン矯正は日中でも必要に応じて取り外しができ、食事の制限がなく、治療中も好きな食べ物を我慢する必要がありません。また、いつでも簡単に歯のお手入れができ、口腔内を健康に保つことができます。
治療前に顎機能検査(CADIAX)で顎の動きを検査し、一人ひとりに合わせた綿密な治療計画を策定してから治療を行います。咬み合わせの状況や骨格など、難易度によりますが、ワイヤー矯正では2〜3年、マウスピース矯正で2~4年程度の期間をかけて歯を正しい位置へ移動させます。
インビザライン矯正

透明に近く、目立ちにくいマウスピース型の矯正装置(アライナー)によって、歯を正しい位置へ緩やかに少しずつ移動するインビザライン矯正。
光学スキャナにより口腔内をスキャンし、データとしてコンピュータ上で設計を行います。一人一人の治療計画に基づいて、精密にカスタムメイドされたマウスピースをご自宅で交換していくことにより、歯を徐々に動かします。
インビザラインシステムのメリットは日中でも必要に応じて取り外しができ、食事の制限がなく、治療中も好きな食べ物を我慢する必要がありません。また、いつでも簡単に歯のお手入れができ、口腔内を健康に保つことができます。
ゴムメタルワイヤー矯正

柔らかく、しなやかでありながら高強度という性質がある「ゴムメタル」という金属のワイヤーを使用する矯正方法です。
歯を3次元で動かしやすいため、ほとんどの症例で小臼歯の抜歯せずに矯正治療が可能となっています。
※ただし、親知らずは抜くことをお勧めします。(親知らずのスペースを使うため)

無料相談を受け付けております。お気軽にご相談くださいませ。
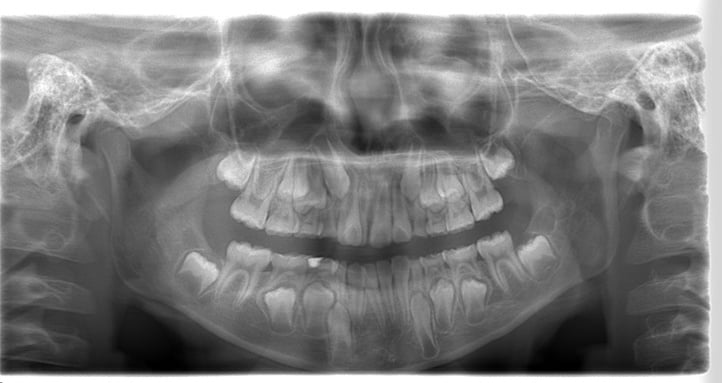
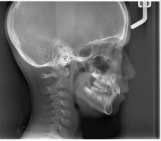
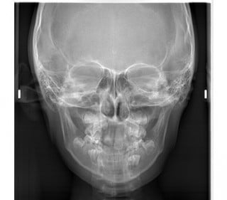
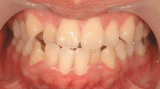
パノラマ(お口全体のレントゲン)・セファロ(お顔・手のレントゲン)・口腔内写真(現在の歯並びの写真)・顔写真・歯の型取り
をして丁寧に状態の確認を行います。
患者様の資料をもとに分析し、どのような状態で、どのような治療が必要かお話があります。
*診断結果を聞いてみて、もう一度治療をするかどうするか検討してもらうこともできます。
パノラマ
歯や骨、顎関節の状態などさまざまな情報を得ることができます。

セファロ

上下のあごの大きさ/上下のあごのズレ/あごの形/歯の傾斜角/口元のバランス など

顔貌の対称性/歯列幅/関節の形/咬合平面の傾斜 など

成長発育の段階を確認
手の骨(足の骨)は成長に合わせて形、大きさを変えていくことが分かっています。成長の段階を知ることで、治療開始時期の決定や使用装置の効果を予測。
乳歯列期の矯正装置(子どもの歯がある時期)
<可撤式装置>
プレオルソ
インビザライン
<固定式装置>
D・B・S
永久歯列期の矯正(すべて大人の歯)
<可撤式装置>
インビザライン
<固定式装置>
D・B・S


1.初診時

2.装置装着時①

3.装置装着時②

4.治療継続中
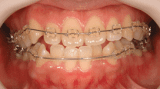
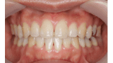
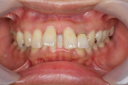
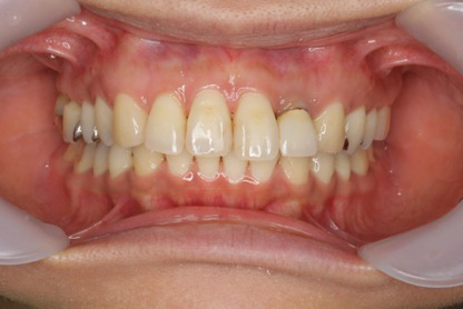
■症例1
Before
After


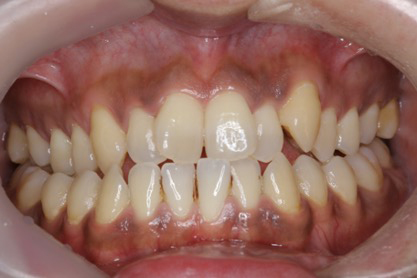
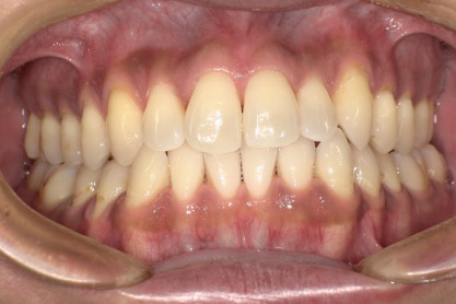
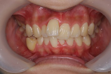
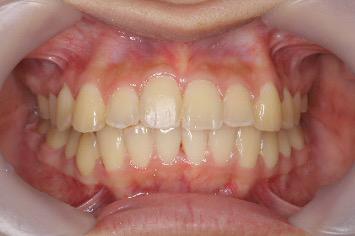
■症例2
Before
After


■症例3
Before
After



Q1. 自分がどの矯正が合っているか、どうやって決めるのですか?
お口の状態やライフスタイル、ご希望に応じて、どの矯正方法が適しているかを歯科医師が丁寧にご提案いたします。
インビザラインは目立ちにくく取り外しができる点が魅力で、軽度〜中等度の症例におすすめです。一方、ゴムメタルワイヤー矯正は、従来のワイヤー矯正よりも違和感が少なく、幅広い症例に対応可能です。まずはお気軽にご相談ください。
Q2. インビザラインは本当に目立ちませんか?
はい。インビザラインは透明なマウスピース型矯正装置で、装着していてもほとんど目立ちません。
接客業や人前に出るお仕事をされている方にも、多く選ばれています。また、取り外しができるため、食事や歯磨きも普段通りに行えるのが大きなメリットです。
Q3. ゴムメタルワイヤーって何ですか?普通のワイヤーとどう違うのですか?
ゴムメタルとは、医療用に開発された新しい素材で、しなやかさと高い弾力性を持つ次世代ワイヤーです。
従来のワイヤーよりもやさしく力をかけて歯を動かすことができるため、痛みが少なく、スムーズな矯正が可能です。
目立ちにくいセラミックブラケットとの併用もできますので、見た目にも配慮した矯正が行えます。
Q4. 治療期間や通院頻度はどれくらいですか?
治療期間はお口の状態や矯正の種類によって異なりますが、一般的には1年〜2年半程度が目安です。
通院はインビザラインで月1回程度、ワイヤー矯正では3〜4週間ごとが基本となります。
詳しくはカウンセリング時に、あなたの状態に合わせた治療計画をご説明いたします。

