インプラント


専門医紹介

日本口腔インプラント学会認定
口腔インプラント専門医
まき歯科平和町 理事長
副島 太悟

日本口腔外科学会認定
口腔外科専門医
楢原 峻
大学病院やその他研修施設での研修・臨床を経て、確かな診断力と丁寧な治療計画を大切にしています。
「長く安心して使えるインプラントを、一人ひとりに合わせてご提案します。」
「骨が足りない」と言われた方へ。骨再生・骨造成に強みを持つ当院が、最適な治療法をご提案します。
当院では、GBR(骨誘導再生)やサイナスリフト、自家骨移植などの高度な骨造成技術にも対応しております。
また、研究で培ってきた組織再生の知見を臨床にも活かし、エビデンスに基づいた安心の治療を心がけています。
他院で「難しい」と判断された症例についても、リスクや治療の選択肢を丁寧にご説明し、
可能な限り患者さまにとって最善の方法を一緒に考えてまいります。
インプラント治療とは
「インプラント」とは、歯を失った部分に人工の歯の根(ネジのようなチタン製の土台)を埋め込み、その上に人工の歯を装着する治療法です。天然の歯のようにしっかり噛めて見た目も自然なため、最近では多くの方に選ばれています。

●入れ歯との違い
入れ歯は、歯ぐきの上に人工の歯を乗せる治療です。
【メリット】比較的短期間で治療ができ、費用も抑えられます。
【デメリット】外れやすい、しっかり噛めない、話しにくいことがある、などのお悩みを感じる方も。

→ インプラントなら、顎の骨にしっかり固定されるので、グラつきがなく、食事や会話も自然に楽しめます。
●ブリッジとの違い
ブリッジは、失った歯の両隣の健康な歯を削って土台にし、その上に人工の歯を橋のようにかける治療です。
【メリット】治療期間が比較的短く、固定式なので違和感が少ない。
【デメリット】健康な歯を削る必要があり、将来的に負担がかかる可能性も。

→ インプラントなら、周囲の歯を削ることなく、1本ずつ独立して治療できるため、周りの歯を大切に守ることができます。
インプラントは、失った歯の代わりに人工の歯根を埋め込むことで、しっかり噛める機能を回復できます。入れ歯のように外れたりズレたりする心配がなく、自分の歯のような自然な見た目に仕上がるのも特徴です。さらに、顎の骨にしっかり力が伝わるため、骨が痩せるのを防ぐ効果もあります。

1. 専門医ダブル体制の“Wチェック”
インプラント治療の前に2人の専門医が一緒に診断や手術計画を確認します。
治療方法を一人で決めるのではなく、チームで話し合うことで見落としを防ぎ、安全で的確な治療を行えるようにしています。
2. 骨再生・骨造成まで一貫対応
「骨が足りないからインプラントはできない」と言われた方も、あきらめないでください。
当院では、骨を増やす治療(GBR・サイナスリフト・自家骨移植など)にも対応しており、骨の量が少ない方にも、できるだけ多くの選択肢をご提案しています。
3. CT×3Dシミュレーション&ガイドサージェリー
インプラント手術では、あごの骨や神経の位置などをCTで立体的に確認し、
事前にシミュレーションを行ったうえで手術計画を立てます。
必要に応じて、専用の「サージカルガイド」も使用し、精密で安全な治療を行います。
4. 安全・衛生体制
専用のオペ室を完備し、高水準の滅菌器(クラスB)で器具をしっかり消毒。
心拍や血圧を確認できる生体モニターも使い安全に手術を行います。必要に応じて、「静脈内鎮静法」にも対応。
また、全身疾患管理体制や、緊急時の医療機関との連携も整えており、不安なく治療にのぞんでいただけます。
5. 痛み・不安への配慮と情報提供
治療前には、麻酔の方法や術後の痛みへのケア、起こりうるリスクや回復の流れについて、
わかりやすくご説明いたします。納得いただいたうえで治療を進めることを大切にしています。
6. 費用の透明性と複数プラン提示
治療前にお見積りを提示し、それ以降に追加費用は発生しません。
また、患者さまのご希望にあわせて、機能性・見た目・費用のバランスを考えた複数の治療プランをご提案します。
7. メンテナンスと保証制度
インプラントを長持ちさせるため、定期的なメンテナンスプログラムをご用意しています。
さらに、保証制度も明確に規定し、適用条件や保証期間もページ内でしっかりと公開しています。

患者様のお口の状態を詳しく調べ、治療計画を立てます。
インプラント前にお口の環境を整えます。
麻酔でインプラントをあごの骨に埋め込みます。
インプラントが骨と結合するまで待ち、見た目や噛む機能を保つ仮歯を使用します。
しっかりと土台を固定し、人工の歯(上部構造)を取り付けます。
治療後も定期的なチェックとお手入れで、インプラントを長く快適に使っていただけます。



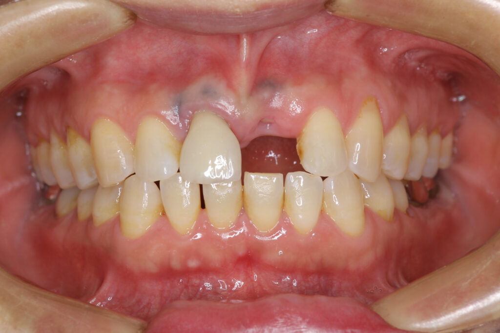
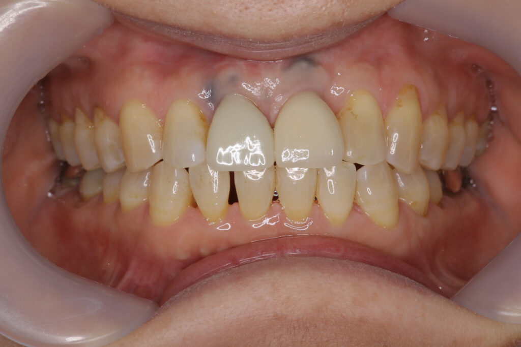
■症例1
Before
After


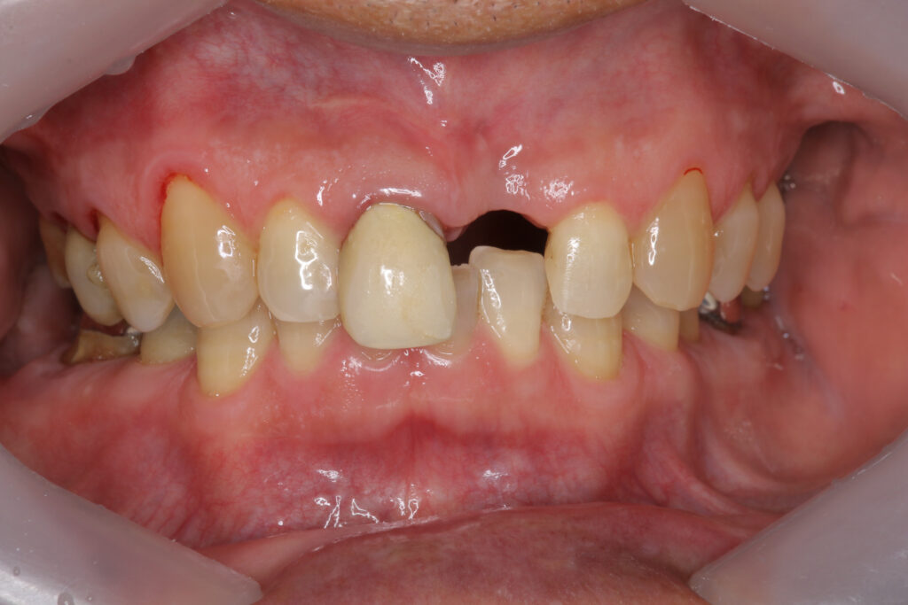
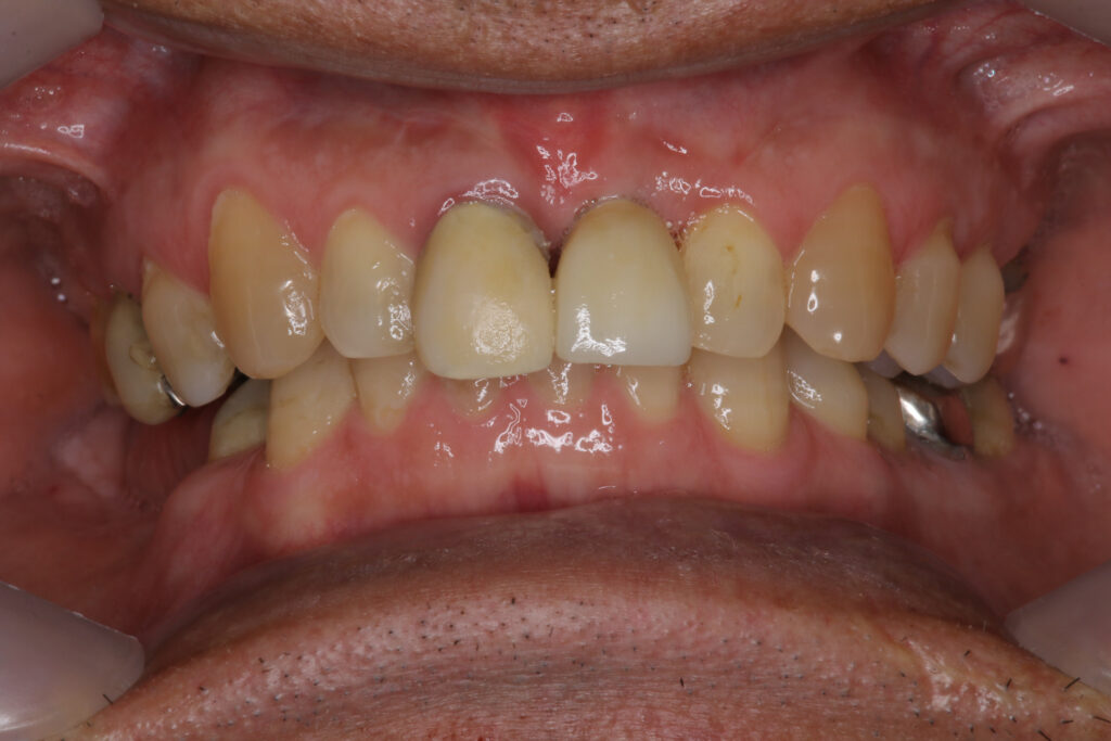
■症例2
Before
After



基本料金
● インプラント埋入(1本あたり)
440,000円(税込)〜
※治療内容や必要な処置により費用は異なります。詳細はカウンセリング時にご説明いたします。
● お支払い方法
クレジットカード対応/分割払い/デンタルローンのご案内も可能です。

Q1. 痛みはどの程度ですか?
手術中は局所麻酔(ご希望により静脈内鎮静や笑気麻酔)でほとんど痛みを感じません。術後は親知らず抜歯後と同程度の鈍い痛みや腫れが 2〜3 日続くことがありますが、処方する鎮痛薬で抑えられるケースがほとんどです。強い痛みや腫れが長引く場合はすぐにご連絡ください。
Q2. 治療期間はどれくらい?
初診から最終的なかぶせ物装着まで、骨量に問題がなければおよそ 3〜6 か月が目安です(カウンセリング・検査 → 埋入手術 → 治癒期間 → 上部構造装着)。
骨造成を併用する場合や複数本同時に治療する場合は、再生期間を含めて 6〜9 か月程度かかることがあります。個々の条件によって前後しますので、CT診断後に具体的なスケジュールをご提示します。
Q3. 保証はありますか?
あります。当院では第三者機関ガイドデントの「インプラント10年保証」を標準付帯しています。治療後10年間、インプラント体や上部構造が脱落・破損した際の再治療費を補償し、転居しても全国のガイドデント認定医院で保証を引き継げます。適用には年2回程度の定期メンテナンス受診が必要です。詳しい保証範囲はカウンセリングでご説明いたしますのでご安心ください。
Q4. 他院で断られたケースでも可能?
症例によりますが、当院では口腔外科専門医が在籍し、GBR(骨再生)やサイナスリフトなどの骨造成術を含めた複数の選択肢をご用意しています。CT撮影で骨量・神経位置を精査し、リスクと治療計画を丁寧にご説明したうえで実施の可否を判断しますので、まずは一度お気軽にご相談ください。

