ホワイトニング

まき歯科の審美歯科について
見た目の美しさだけでなく機能性まで考慮した総合的な治療技術が求められる被せ物は自由診療によるセラミックやジルコニアなどを使用した高精度な治療にも対応。歯を削らずに薬剤を使って白くするホワイトニングではライフスタイルに合わせた治療をご提案します。
▶︎セラミックやジルコニアなど自由診療による被せ物は治療方法や型取りの方法、接着材料まで高い精度で実現。美しさだけでなく、変色が起きにくい材質を使うことでむし歯の再発を予防できるメリットもあります。
ホワイトニングは来院して施術を受けるオフィスホワイトニングとマウスピースを使って自宅で施術するホームホワイトニングをご用意しています。ライフスタイルに合わせて最適なホワイトニングができるだけでなく、併用することでよりこ高い効果が期待できるデュアルホワイトニングをお選びいただくこともできます。
【ご注意】
ホワイトニングは、むし歯や歯周病などお口の状態によってはすぐに行えない場合があります。
その際はまず必要な治療を優先してから、ホワイトニングをご案内いたします。
被せもの
「見た目の美しさ」と「機能性」を考慮した、総合的な治療技術が必要な治療です。
自由診療では、治療方法や型取りの方法、接着材料まですべての精度が高いことが特徴です。
セラミックやジルコニアなどの変色が起きにくい材質は、美しさだけでなく、むし歯の再発を予防できるメリットもあります。

オフィスホワイトニング
来院していただき施術を受けていただくオフィスホワイトニング。当院では光を照射しないため、色むらや知覚過敏が出にくいのが特徴です。
また、短期間での効果が期待できるため、患者様の満足度が高いこともポイントです。
料金:上下各8本ずつ 33,000円(税込)
色戻りを考慮し、タッチアップも行っています。
ホワイトニングした日から半年以内 22,000円(税込)

ホームホワイトニング
当院で型取りを行い、ホワイトニング用に作成したマウスピースを使って自身で行っていただくホームホワイトニング。
お渡し後は、マウスピースに専用のジェルを塗布し、決められた時間装着することで白くすることが可能です。
料金:上下 22,000円(税込)
薬剤の追加購入(一週間分)5,500円(税込)

デュアルホワイトニング
オフィスホワイトニングとホームホワイトニングを併用するデュアルホワイトニングならより短期間での効果があり、白さが長持ちしやすいホワイトニングを実感していただけます。
料金:44,000円(税込)

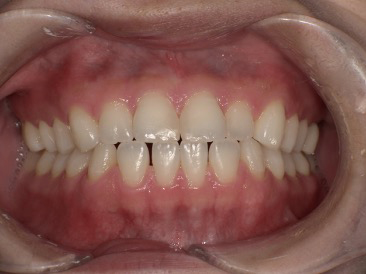
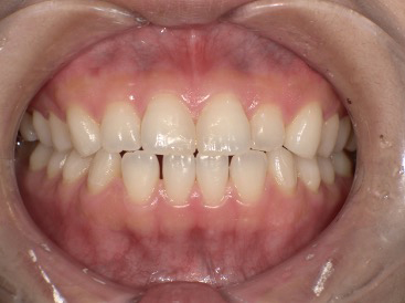
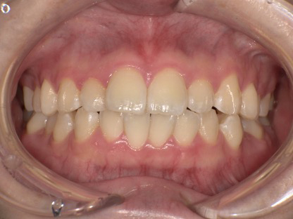
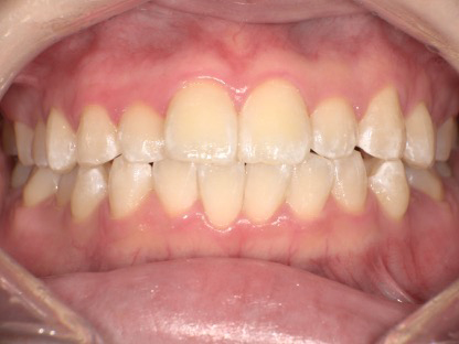
■症例1
Before
After


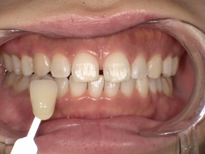
■症例2
Before
After


■症例3
Before
After



Q1. ホワイトニングは痛みがありますか?
A. 個人差はありますが、一時的に「しみる」ような症状が出ることがあります。ほとんどの場合は数日で治まりますのでご安心ください。症状に合わせて薬剤の濃度を調整することも可能です。
Q2. どのくらいで白さを実感できますか?
A. オフィスホワイトニングは1回でも効果を感じやすく、ホームホワイトニングは2週間程度で徐々に実感される方が多いです。白さの持続性を考えると、デュアルホワイトニングがおすすめです。
Q3. 効果はどのくらい持続しますか?
A. 個人の生活習慣によって異なりますが、6か月〜1年程度持続する方が多いです。コーヒーや赤ワイン、喫煙などで着色が早まることもあるため、定期的なメンテナンスをおすすめしています。
Q4. むし歯や歯周病があってもホワイトニングできますか?
A. むし歯や歯周病がある場合は、先に治療を行ってからホワイトニングをおすすめします。安全に効果を得るため、まずは口腔内の状態をしっかりチェックしてから進めます。

